Fecal Microbiota Transplantation: The untold story of healing from within
Editorial note: We will be interviewing Dr. Sabine Hazan next week for a podcast discussing her new book “Let’sTalk Sh!t” and her FMT work...
Foraging for wild mushrooms can lead to the ER, warns California Poison Control System
CALIFORNIA - Mushroom foraging is a popular activity enjoyed by thousands of people. However, it can prove as dangerous as it is fun, warns...
MSJC Student Health Center earns prestigious AAAHC accreditation
SAN JACINTO - Mt. San Jacinto College (MSJC) proudly announces that its Student Health Center (SHC) has been awarded a three-year Ambulatory Accreditation by...
Southwest Healthcare Rancho Springs Hospital & Inland Valley Hospital introduces new, digital resuscitation training...
The innovative program verifies CPR expertise to help increase cardiac arrest survival
MURRIETA — Patients who suffer a cardiac arrest must receive the highest quality...
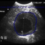
Health Right Here: What to expect with an abdominal aortic aneurysm ultrasound screening
Devin Zarkowsky MD FACSSpecial to Valley NewsAbdominal aortic aneurysm (AAA) is a serious condition that occurs when the large blood vessel bringing blood from...
Southwest Healthcare Temecula Valley Hospital appoints Zachary Johnson as new CFO
TEMECULA – Southwest Healthcare Temecula Valley Hospital (TVH) is pleased to announce the appointment of Zachary Johnson, CPA, as its new Chief Financial Officer...
‘ThanksLiving’ vegan recipes
Savannah R. ReynoldsValley News InternThis Thanksgiving let's take a moment to celebrate not only the abundance of food on our tables but also the...
New report ranks states on the health of women & children
Dr. Lisa Saul
UnitedHealthcare, National Director, Maternal Child Health
United Health Foundation recently released its America’s Health Rankings 2024 Health of Women and Children Report. The...
Study Showing ‘High Likelihood’ of Link Between COVID Vaccines and Death Republished in Peer-reviewed...
The largest COVID-19 vaccine autopsy study to date has been republished in a peer-reviewed journal after twice being censored. The study’s lead author said...
Senior veterans share their stories with the next generation
MURRIETA - For David Galey, age 95, Veterans Day stirs up a host of memories. He served in the US Army achieving the rank...












